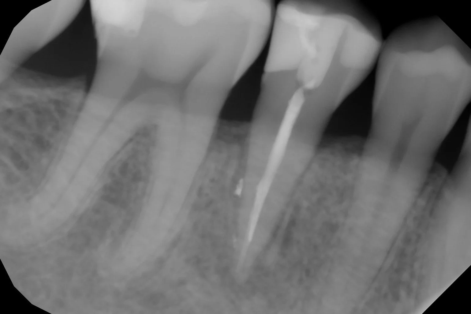
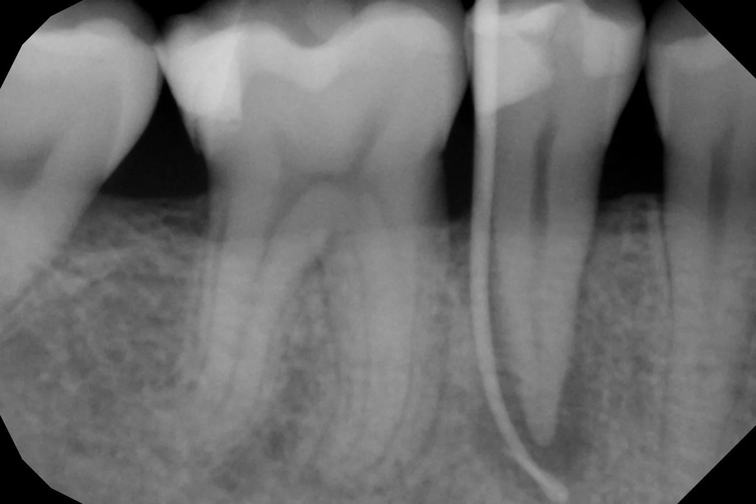
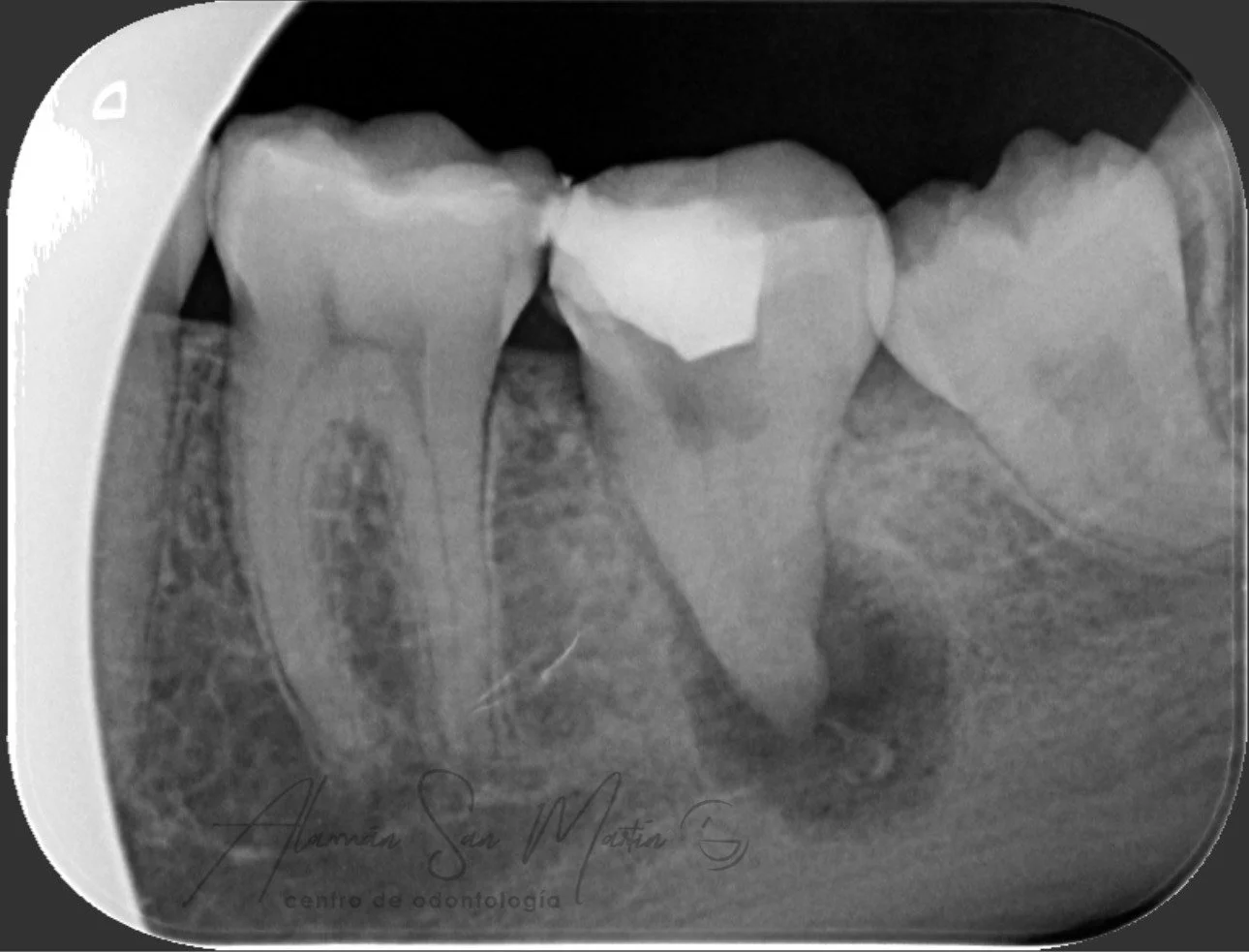
Endodoncia

La Endodoncia consigue eliminar el nervio de los dientes con dolor por caries o algún traumatismo y rellenarlo con material biocompatible, conservando el diente sin tener que extraerlo.

En nuestra clínica se realizan endodoncias por un Especialista En Endodoncia tratando desde casos sencillos a casos complejos de retratamientos o fracasos en endodoncias antiguas.

Utilizamos técnicas avanzadas de diagnóstico en endodoncia como la Radiovisiografía Digital, el Localizador de Ápice y Técnicas Rotatorias de instrumentación de los conductos radiculares, utilizando el microscopio en los pacientes que lo requieren.