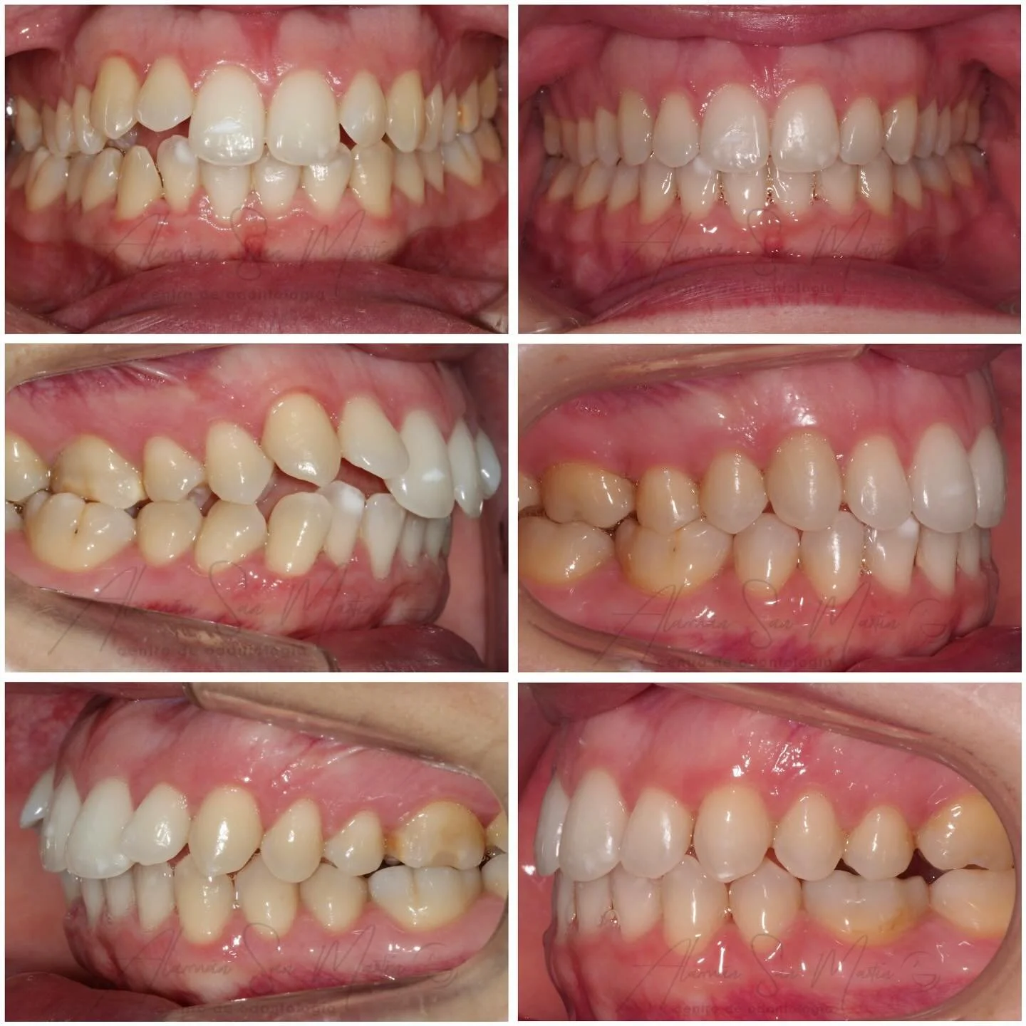
Sonríe con confianza
Previene y corrige las alteraciones de la posición de tus dientes y sonríe sin miedo. En la Clínica Alamán San Martín te asesorarán con los tratamientos más adecuados según tu problema. El prestigio alcanzado gracias a sus pacientes, les posiciona entre los principales referentes en el sector.
Nuestros tratamientos
Nuestros tratamientos odontológicos combinan la última tecnología con un equipo altamente cualificado para garantizar cuidado óptimo y resultados excepcionales. Visítanos y experimenta un enfoque de salud dental profesional y personalizado.
-
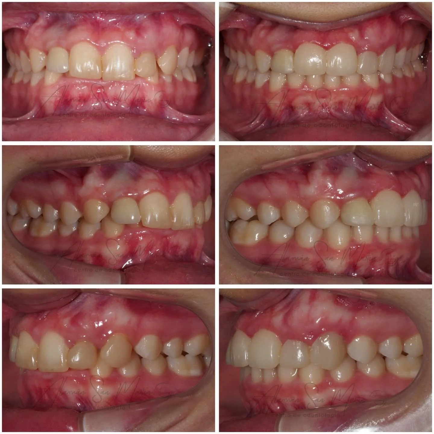
En la Clínica Alamán San Martín todos los tratamientos de Ortodoncia los realiza un Especialista Universitario en Ortodoncia, siempre tras un estudio diagnóstico en profundidad con la exploración clínica y valoración de todos los registros necesarios según la complejidad de cada paciente.
Actualmente la Ortodoncia se realiza a cualquier edad para mejorar la salud bucal, la función masticatoria y la estética, al conseguir un buen alineamiento de los dientes y una relación ósea intermaxilar adecuada con una oclusión normal, por lo que recomendamos hacer una revisión de ortodoncia por lo menos desde los 6 años de edad si no se detecta nada antes.
En Clínica Alamán San Martín ofrecemos diversos tratamientos de ortodoncia como: Ortodoncia infantil y adultos, Ortodoncia Estética, Ortodoncia Transparente con Alineadores, y Ortodoncia quirúrgica para Cirugía ortognática.
-
Los implantes son fijaciones de titanio de alta precisión que se colocan para reponer uno o varios dientes y sirven de "raíces artificiales" donde fijar una prótesis dental.
Después del examen clínico y radiológico con CBCT en 3D, el cirujano le puede indicar si usted es candidato a este tratamiento.
Los implantes reponen la pérdida de un diente natural, evitando la necesidad de tallar dientes adyacentes sanos para la colocación de un puente.
Los implantes aportarán una mayor retención a su dentadura, impidiendo que ésta se mueva. Si usted tiene hueso suficiente y se pueden colocar suficiente número de implantes, podría volver a llevar una dentadura fija, aunque haya perdido todos sus dientes.SABER MÁS
-
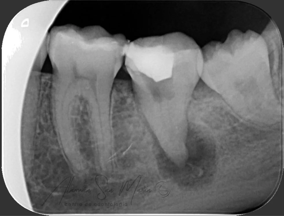
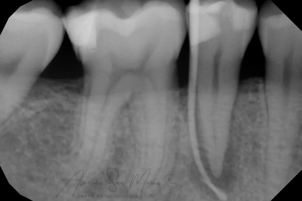
La Endodoncia consigue eliminar el nervio de los dientes con infección por caries o por algún traumatismo, y rellenarlo con material biocompatible, conservando el diente sin tener que extraerlo.
En nuestra clínica se realizan endodoncias por un Especialista En Endodoncia tratando desde casos sencillos a casos complejos de retratamientos o fracasos en endodoncias antiguas.
Utilizamos técnicas avanzadas de diagnóstico en endodoncia como la Radiovisiografía Digital, el Localizador de Ápice y Técnicas Rotatorias de instrumentación de los conductos radiculares, utilizando el microscopio en los pacientes que lo requieren.
SABER MÁS
-
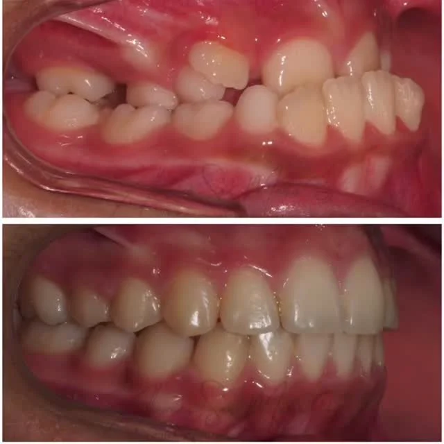
A nuestra clínica acuden muchos pacientes remitidos de los servicios de Cirugía Maxilofacial de los Hospitales de Madrid con problemas óseos y de maloclusión oseodentaria grave que requieren una preparación de ortodoncia antes de la Cirugía Ortognática en su Hospital.
En la clínica se realiza Ortodoncia Quirúrgica en adultos desde 1998, con excelentes resultados gracias al trabajo de los Cirujanos Maxilofaciales en combinación con nuestra Ortodoncia y la exacta preparación de las Férulas Quirúrgicas por nuestros protésicos.
La Ortodoncia Prequirúrgica cambia las inclinaciones de los dientes y consigue una buena forma de arcada sin apiñamiento para que haya una oclusión estable en la cirugía.
La Ortodoncia Postquirúrgica mantiene la posición ósea obtenida con la cirugía y termina de conseguir la mejor oclusión equilibrada posible en el paciente.
SABER MÁS
-
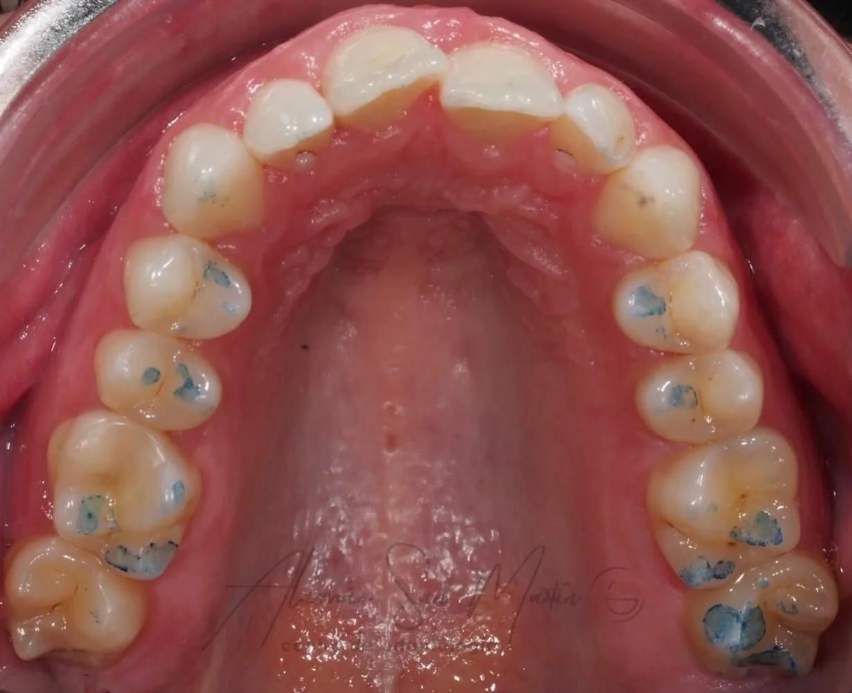
En la clínica las prótesis dentales son indicadas, las diseña y adapta un Especialista, siempre tras un estudio diagnóstico y preparación en boca minuciosos, explicando en detalle los consejos de su utilización y mantenimiento a cada paciente.
Prótesis Fija sobre dientes: Coronas y Puentes de Porcelana
Prótesis Fija sobre Implantes: Coronas y Puentes de Porcelana
Prótesis Parcial Removibles de Resina o Metálicas
Carillas Estéticas de Porcelana
Incrustaciones Estéticas de Porcelana
-
Actualmente muchos pacientes acuden por dolor o molestias al abrir y cerrar la boca, en los músculos masticatorios y en la articulación temporomandibular o ATM, son pacientes con Disfunción Craneomandibular donde lo más importante es el diagnóstico para saber porqué duele y como tratarlo.
Una vez conocidos los síntomas y hecha la exploración de la ATM y su musculatura, deben valorarse los registros diagnósticos radiográficos y en algunos casos la resonancia magnética de la articulación, para poder hacer un diagnóstico y comenzar el tratamiento adecuado, con una posible Férula de estabilización, fisioterapia y en algunos casos medicación o tratamientos por su cirujano maxilofacial como infiltraciones, artroscópias o artrocentesis..
SABER MÁS
-
A nuestra clínica acuden pacientes con problemas de encías de sangrado, inflamación, sensibilidad, o retracción de encías que son tratados de forma individual, enseñándoles además como mantener las encías y mejorarlas, estableciendo un programa de citas de mantenimiento periódico.
Raspado y alisado radicular
Mantenimiento Periodontal
Injerto de encía
Gingivectomía
SABER MÁS
-
Aplicamos las últimas novedades y técnicas de Blanqueamiento Dental para conseguir cambios realmente notables en el aclaramiento del color de los dientes sin daño alguno para el paciente.
Antes del blanqueamiento se evalúa el estado de los dientes y se toman registros valorando el color inicial y la indicación del tratamiento.
Pueden realizarse sesiones de Blanqueamiento en Clínica incluso con Lámpara de Blanqueamiento, combinándolas después con un Blanqueamiento en casa con cubetas que se colocan sobre los dientes un número de horas al día.
SABER MÁS
Sobre Nosotros
Alamán San Martín es una empresa familiar con varias generaciones en el campo de lo Odontología.
En 2006, tras haber colaborado con varios compañeros en distintas clínicas del sector, el Dr. José Mª Alamán Fernández y la Dra. Susana San Martín Izquierdo se embarcan en el proyecto de Clínica Alamán San Martín comenzando con la atención especializada a pacientes de ortodoncia en el local de Manuela Malasaña 30.
Síguenos en redes sociales
Contáctanos
Ingresa tus datos y nos pondremos en contacto contigo en breve. Esperamos tener noticias tuyas pronto.
