Implantes

En la clínica se realizan tratamientos de Cirugía Oral como extracciones de dientes, muelas del juicio, dientes incluidos, así como colocación de implantes oseointegrados

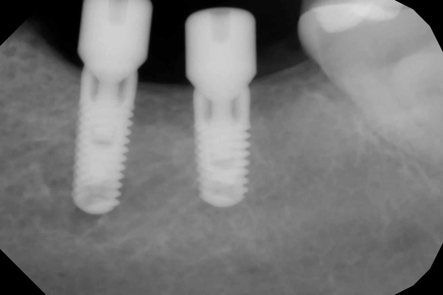
Los implantes son fijaciones de titanio de alta precisión que se colocan para reponer uno o varios dientes y sirven de "raíces artificiales" donde fijar una prótesis dental. 

Después de un examen clínico y radiológico con CBCT en 3D, el cirujano le puede indicar si usted es candidato a este tratamiento. 

Los implantes pueden reponer la pérdida de un diente natural, evitando la necesidad de tallar dientes adyacentes sanos para la colocación de un puente. 

Los implantes aportarán una mayor retención a su dentadura, impidiendo que ésta se mueva. Si usted tiene hueso suficiente y se pueden colocar suficiente número de implantes, podría volver a llevar una dentadura fija, aunque haya perdido todos sus dientes.