Periodoncia

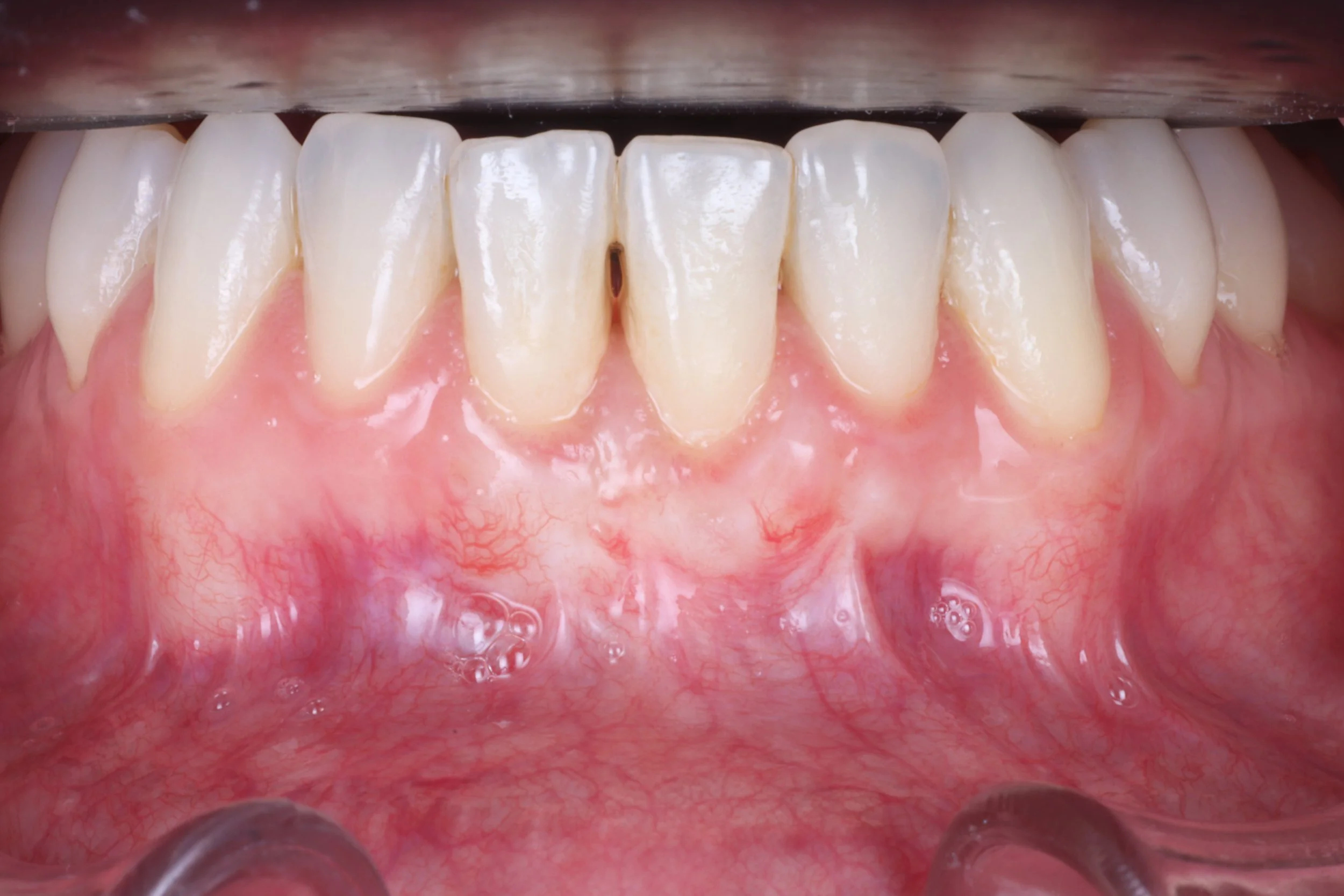
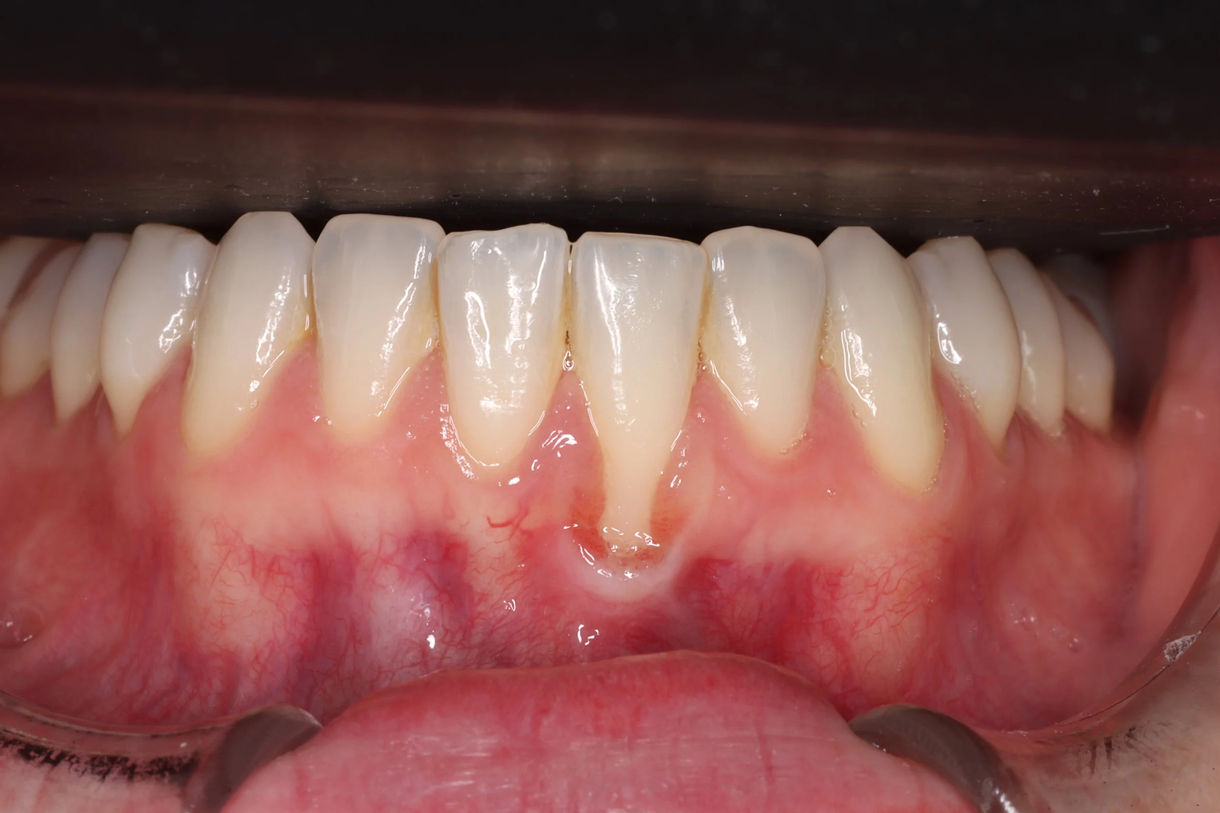
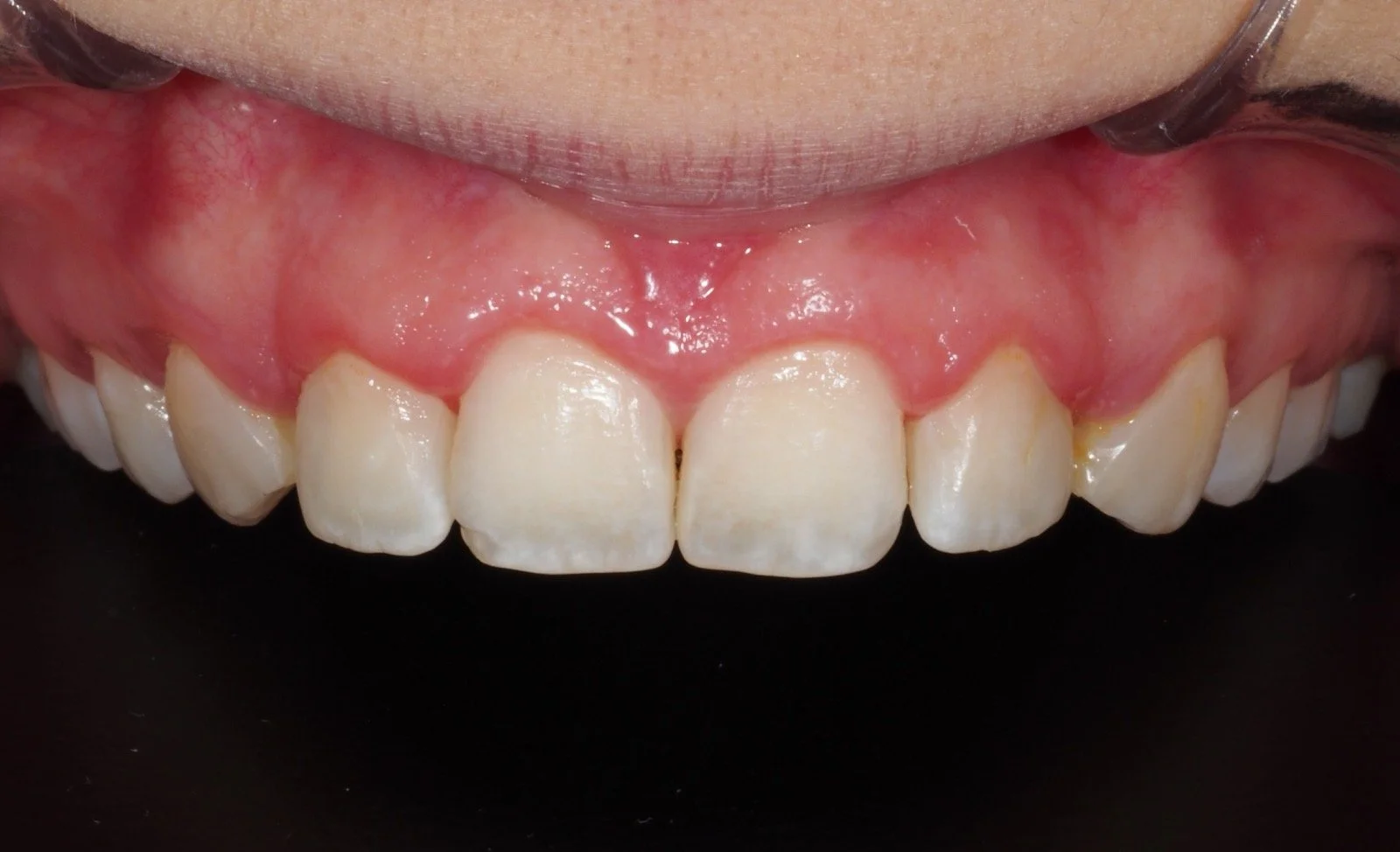
A nuestra clínica acuden pacientes con problemas de encías de sangrado, inflamación, sensibilidad, o retracción de encías que son tratados de forma individual, enseñándoles además como mantener las encías y mejorarlas, estableciendo un programa de citas de mantenimiento periódico.

  • Raspado y alisado radicular

  • Mantenimiento Periodontal

  • Injerto de encía

  • Gingivectomía