Prótesis y Estética dental

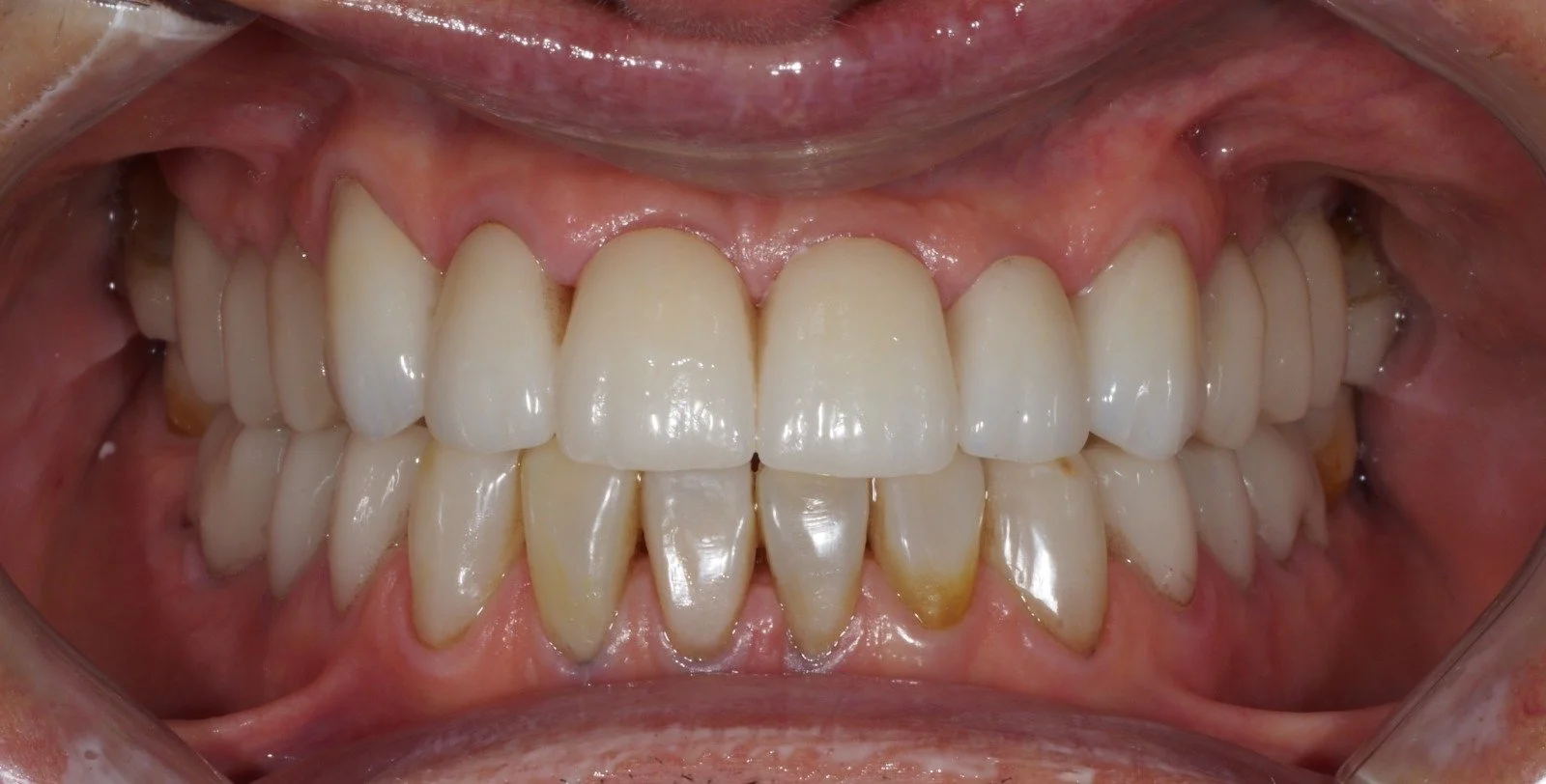
En la clínica las prótesis dentales son indicadas, las diseña y adapta un Especialista, siempre tras un estudio diagnóstico y preparación en boca minuciosos, explicando en detalle los consejos de su utilización y mantenimiento a cada paciente.

  • Prótesis Fija sobre dientes: Coronas y Puentes de Porcelana

  • Prótesis Fija sobre Implantes: Coronas y Puentes de Porcelana

  • Prótesis Parcial Removibles de Resina o Metálicas

  • Carillas Estéticas de Porcelana

  • Incrustaciones Estéticas de Porcelana